足と靴外来

足の疾患および靴に困っている方々の要望に靴・インソール(中敷)のオーダーメイドで応える専門外来です。

整形外科靴技術者チームが靴・インソール(中敷)の注文を承り製作しています。

足と靴外来の流れ

1. 医師の診察

足の疾患(外反母趾、扁平足、靴による膝・股関節の痛み、アーチ障害、脚長差など)がある方は病院の医師の診察を受けます。

  • ポドメーターによる診察

    1-1.

    ポドメーターにより足底の接地具合を診察します。

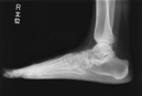
  • レントゲン撮影

    1-2.

    レントゲン撮影で画像診断をします。

2. 義肢装具士による採寸・採型

靴・インソールが必要と判断された患者さまは、採寸・採型後、足と靴相談会での整形靴技術チームによる評価のご予約をいただきます。

  • 採型

    トリットシャウムによる採型で足の形状を型取りします。

3. 整形靴技術チームによる評価・仮合わせ

ご予約日に整形靴技術チーム(ドイツ・オーソペディーシューマイスターチーム技術者)が靴・インソール製作のための評価をし、インソール処方の際は患者さまに合う靴をお勧めいたします。
次回相談会での仮合わせおよび微調整のご予約をいただきます。

  • 足のチェック

    3-1.

    足のチェックで足の骨格や関節の柔らかさ、負担の具合などを評価します。

  • フットプリント

    3-2.

    フットプリントで足の形や足裏の接地具合を調べます。

4. 靴もしくはインソール製作

患者さまの足の疾患・目的に合わせたインソールおよび靴を病院の診断および計測したデータに基づき製作します。

  • スキャン

    4-1.

    デジタイザーで足の形状をスキャンします。

  • コンピューターデザイン

    4-2.

    コンピューターにより縦・横アーチサポートなどのデザインを決めます。

  • ミリングマシン切削

    4-3.

    インソールの原型をミリングマシンで自動的に切削します。

  • 専門技術者による仕上げ

    4-4.

    さらに専門技術者が細やかに仕上げます。表面をならしカバーをかけて完成させます。

5. 仮合わせ・納品・微調整

患者さまにご予約日にお越しいただき、製作した靴・インソールの仮合わせをいたします。
不具合などある場合は、その場で微調整します。
完成後、納品します。

  • フィッティング

    5-1.

    フィッティングし、完成したインソールをご自身の足裏に合わせてチェックします。

  • 試し履き

    5-2.

    インソールをシューズに入れて試し履きします。

  • 微調整

    5-3.

    歩いた状態をチェックし、合わない場合は微調整を行って完成です。

  • 足底圧力分布図(前)

    足底圧力分布図(インソール使用前)

    圧にムラがあり、バランスが良くありません。

  • 足底圧力分布図(後)

    足底圧力分布図(インソール使用後)

    足底の圧が分散し軽減しています。

6. 適合・評価

弊社より病院へ靴・インソールの納品後、患者さまは病院で医師の適合・評価をうけます。
患者さまは病院で診断書・装具領収書を受け取ります。
保険手続きに関してはお問い合わせ下さい。

足と靴外来を行っている病院

東京都23区内

足立区
あやせ駅前整形外科・内科
毎週木曜日(15時~17時)
台東区
梅澤医院
第2・第4木曜日
中央区
ウェルネスクリニック銀座
毎週土曜日※祝日除く(9時~16時)

東京23区外

八王子市
永生クリニック 整形外科
第2・第4木曜日(10時~15時)

千葉県

鴨川市
亀田クリニック
毎月第2火曜日(10時~15時)